Здоровье ротовой полости отражается на здоровье всего организма. Потому рекомендуется регулярно посещать стоматолога. Стоматология «МедикалДент»предлагает своим пациентам услугу по чистке зубного камня, которую необходимо проводить раз в полгода. удаление зубного камня позволяет снизить скорость развития кариеса, устранить патологию десен, освежить дыхание.
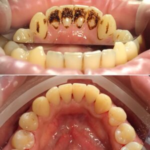
Зубной камень представляет собой результат неправильной гигиены рта или ее полного отсутствия. Миллиарды бактерий, живущих во рту каждого человека, регулярно размножаются, а если зубы не чистятся или чистка проводится некачественно, то они постепенно оседают: на зубах, деснах, в десневых карманах. Первые отложения мягкие и при должном уходе исчезают, но если ничего не делать, то отложения со временем твердеют и наступает момент, когда самостоятельное удаление камня становится невозможным.
С чем сталкивается человек, когда на зубах образуется твердый налет:
· Изо рта идет неприятный запах;
· Эмаль может поменять цвет, став от светло-серой до темной;
· Внешний вид ротовой полости ухудшается, вызывая у человека комплексы;
· Активно развивается кариес;
· Опасность возникновения патологических процессов, в том числе и в ЖКХ.
На сегодняшний день стоматология МедикалДент предлагает несколько способов избавления от зубного камня:
· Механическая очистка. Данная методика использовалась раньше, но сегодня она крайне редко встречается. Чистка проводится с помощью кюрет – это инструменты с острыми краями. В результате возникает опасность повреждения десен, а также приведение к развитию воспаления. Если в ротовой полости уже есть воспалительные процессы или имеются патологические нарушения мягких тканей, то механический способ категорически запрещен;
· Пескоструйная очистка. Появилась после механической и представляет собой направленная струя соды или бикарбоната натрия. Вещество подается под сильным напором, сбивая камень с зубов. Подаваемая вместе с содой жидкость, убирает обломки и охлаждает зуб. Такой способ очистки подходит не только для удаления камня, но и для борьбы с легким отложением, пигментацией. Нельзя проводить, если десна воспалены;
· Ультразвуковая очистка. Эффективна и не травмирует зубы. Для очистки применяется скалер, совершающий колебания 100 миллионов движений за 1 минуту. В результате связи между налетом и зубом разрушаются. Для охлаждения используется вода, которая удаляет остатки камня между зубами. Такой способ чистки не только удаляет налет, но и оздоравливает ротовую полость;
· Лазерная чистка. За счет того, что воздействия производятся точечно, способ является самым щадящим. При удалении образований ни зубы, ни десна не травмируются.


