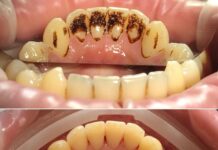
Методы удаления зубного камня
                    Здоровье ротовой полости отражается на здоровье всего организма. Потому рекомендуется регулярно посещать стоматолога. Стоматология «МедикалДент»предлагает своим пациентам услугу по чистке зубного камня, которую необходимо...                
            Кардиология и стоматология в клинике «Стимул» в Москве
                    При необходимости пройти диагностику или лечение важную роль имеет выбор клиники. От уровня учреждения зависит качество и стоимость лечения. Преимуществом частных медицинских центров является...                
            Венозная недостаточность
                    Венозная недостаточность – это тяжелая патология венозных сосудов, которая возникает вследствие нарушения тока крови. Чаще всего заболевание развивается в венах нижних конечностей, что обусловлен...                
            Какие услуги предоставляет дерматолог
                    Существует довольно большое количество дерматологических проблем, которые требуют внимательного и квалифицированного лечения. Подобные заболевания не несут угрозу для жизни человека, тем не менее создают...                
            Лечение в Израиле: лучшая возможность за разумную цену лечения получить медицинские услуги мирового класса
                    Желая получить по-настоящему квалифицированную помощь стоит рассмотреть возможность обратиться за ней зарубеж.Именно там можно столкнуться с по-настоящему профессионалами своего дела. Особой популярностью и востребованностью...                
            Какой специалист лечит людей с гепатитом С
                    *
Коварность Hepatitis C известна - он протекает бессимптомно и маскируется под другие болезни. Люди узнают о неутешительном диагнозе, когда их печень уже поражается циррозом.
ВГС...                
            Врач эко
                    
ЭКО: Что за процедура и каковы ее особенности
Экстракорпоральное оплодотворение подразумевает процесс зачатия ребенка, который проходит вне тела матери.
Процедура является эффективной и современной репродуктивной технологией....                
            Инверсионный стол — вред или польза
                    Инверсионный стол представляет из себя довольно простой, но необычайно эффективный тренажер. Создан он был специально для того, чтобы бороться с всевозможными заболеваниями позвоночника, и...                
            В каких случаях частная скорая лучше государственной?
                    Каждый человек желает получать только лучшие медицинские услуги. Потому очень часто встает вопрос о том, какая же скора лучше, частная или государственная. В жизни...                
            Мануальная терапия лечит и тело, и душу
                    
Мануальная терапия раньше не признавалась традиционной медициной и считалась народной. В начале девяностых годов методику, официально признал ВОЗ и мануальную терапию стали использовать в...                
            
				











