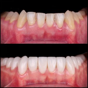
Роль клиники Вэнстом в исцелении прикуса
Клиника Вэнстом играет важную роль в обновлении улыбки пациентов путем исцеления прикуса. Они предлагают широкий спектр услуг и процедур, которые помогают исправить любые проблемы с прикусом и создать идеальное выравнивание зубов.
В клинике Вэнстом https://venstom.ru/ работает опытный и профессиональный медицинский персонал, включающий ортодонтов, стоматологов и хирургов. Они обладают глубокими знаниями и опытом в области исцеления прикуса и могут предложить индивидуальные решения для каждого пациента.
Одним из основных методов исцеления прикуса, предлагаемым Вэнстом, является ортодонтическое лечение. Оно включает использование брекет-систем, съемных аппаратов и прозрачных выравнивателей для плавного перемещения зубов и коррекции прикуса. Ортодонты клиники Вэнстом проводят детальное обследование и разрабатывают индивидуальный план лечения для каждого пациента.
Кроме ортодонтического лечения, клиника Вэнстом также предлагает хирургические методы коррекции прикуса. Это включает в себя операцию по сдвигу верхней или нижней челюсти, костную пластику и имплантацию. Хирурги клиники Вэнстом проводят все необходимые диагностические исследования и разрабатывают индивидуальный план лечения для каждого пациента, чтобы достичь оптимального результата.


